Help Make Your Visit Productive
We believe the best health care occurs when physicians and patients are partners. Help us help you by bringing to your visit the information we will need. Scroll all the way down to see all the information.
If you are a patient of Dr Loring (pediatrics), please refer to the introductory email that was sent to you for the correct forms and information.
Dr. Brander with an Operation Walk Chicago patient in Kathmandu, Nepal
WHAT TO BRING TO YOUR VISIT
Photo identification
An accurate list of all your current medications (name, dose and frequency) and supplements
A list of your allergies
Completed Forms (NEW PATIENT HISTORY or updated ESTABLISHED PATIENT HISTORY form)
A copy of important medical records - those related to the reason that brings you to us. Many institutions’ electronic records do not “communicate”; we are often unable to access other hospital’s records.
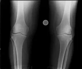
A copy of XRAY images and radiologist report. (note: the radiologist report alone is not adequate - Drs. Brander and Chekka read the films themselves, so need to see the images)
The name and contact information for your Primary Care Physician, the person who referred you and your Pharmacy
A method of payment, The office requires payment at the time of service.
Your Insurance Information. The practice does not take insurance, but we will need a copy of your insurance information in order to deal with other practices and for ordering tests such as X-rays or MRIs.
NEW PATIENT MEDICAL HISTORY
Please print out these forms, complete, and bring in with you at your first visit.
ESTABLISHED PATIENT MEDICAL HISTORY
Please print out this form, complete it and bring in with you at your visit
Osteoarthritis knees, left more than right
 
            